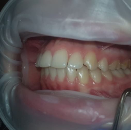
Poslije
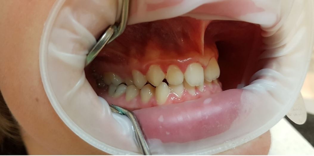
Prije
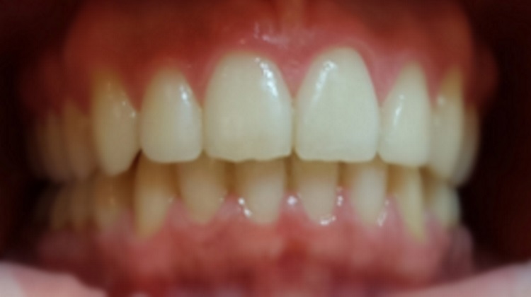
Poslije
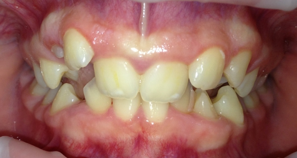
Prije
Poslije
Prije
Poslije
Prije
Poslije (6mj slijedi postava donjeg aparata)
Prije
Poslije
Prije
Poslije
Prije
Poslije
Prije
Poslije
Prije

Garantiramo najbolju uslugu i kvalitetu

Svakom pacijentu pristupamo individualno, te nam je cilj steći povjerenje i zadovoljstvo samog pacijenta